The Big Smile Orthodontics Difference
Outstanding
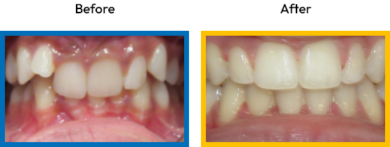
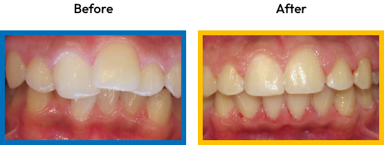
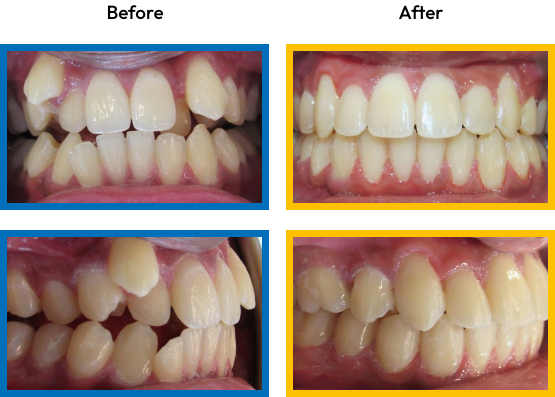
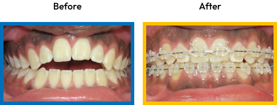
Results
We display our results up-front and center because we want you to see for yourself the phenomenal transformations we’re capable of! We welcome you to browse our smile gallery to view before and after photos of our patients.
View Our Smile Gallery
Top-Rated
Service
We’re best known for our outstanding patient-centered service. With over 300 5-star Google reviews, our team is happy to be at your service. We even have a 24/7 emergency line for whenever the unexpected happens!
More About Our Practice
High
Affordability
Our team is committed to making your orthodontic treatment as affordable as possible, which is why we’re happy to maximize your dental insurance benefits as well as offer flexible financing and special offers.
Explore Financial Options

*for just $450 ($50 off) Learn More
We Make Payment Effortless
$1,000 Off Metal/Clear Braces or Invisalign/Clear Aligners
Includes free teeth whitening during your treatments with Invisalign or Clear Aligners! Redeem Offer
We Accept Dental Insurance
We’re proud to accept most major dental insurance plans and file claims on your behalf to maximize your savings and reduce out-of-pocket expenses. Learn More About InsuranceRound Rock’s Trusted Orthodontist
Meet Dr. Saba AsrarDr. Asrar is a top provider for orthodontic services in Round Rock and has been practicing since 2007. She has created thousands of beautiful smiles over the course of her career! Today, she is one of only a few orthodontists in the country chosen to be a part of the Advisory Board of the Council of Innovative Orthodontics for 3M (Solventum).
Dr. Asrar has a deep passion for orthodontics, an artistic eye for details, and a genuine care for her patients. Moreover, her unwavering commitment to providing the best experience and results further distinguishes her as a top-choice orthodontist. You can learn more about her education and training by clicking the button below.
Saba Asrar, DDS
Orthodontics for Everyone
We Serve Smiles at Every Stage of Life
Kids
We can tackle the early impact of orthodontic issues with Phase 1 treatment for children.
Teens
Teens are able to choose from a variety of treatment options, allowing them to customize their braces.
Adults
Our clear aligners are ideal for adults looking to maintain their professional appearance. We Have Over 300+ Reviews
Here Are 5 Examples
The best dental clinic for orthodontics ever. Cleanliness, perfection, and commitment to appointments. The entire team at the clinic are wonderful, especially the doctor. I am very happy with the result. Thank you to the entire staff.
My son and I have both have braces at Big Smile Orthodontics achieving great results. Dr. Asrar and her team are friendly, professional and efficient. If you are thinking about getting orthodontic treatment, I highly recommend Big Smile Orthodontics!
The atmosphere is wonderful I have my daughter in braces and she had a severe case of crowding in her teeth so far its been 6 months in treatment and what a difference I'm more than a happy mom with Dr Asrar and her staff with thier amazing job!

State-of-the Art Technology & Techniques
RevolutionizingOrthodontic Treatment
We employ the latest technology in our orthodontic office to achieve higher quality, lasting results as well as create a more comfortable experience. With technology like our VPro+ aligner seater, we’re able to safely accelerate your tooth movement for faster, more efficient results.
Find Our Office…
- Next door to Cedar Rock Vision Center
- Near Alamo Coffee Company
- Off of Ranch to Market Road 1431
- A short drive from St. David’s – Round Rock















